眼睛里有红血丝伴有视力下降?眼睛看东西有重影?视野缺损像窗帘拉上一样?什么是眼底“中心性浆液性脉络膜视网膜病变”?
今天这篇文章跟你科普下眼底“漏水”。熬夜、吸烟、压力大,精神压力与不良生活习惯的多重“负面buff叠加”,在中青年群体中愈发普遍,殊不知这些不良习惯除了影响身体健康还在悄悄影响你的视力健康。
近日,刘先生(化名)连续加班一周熬夜至凌晨两点后右眼眼前出现暗灰色影子遮挡并且看近处像“隔着一层玻璃”般模糊不清。到医院检查后发现竟然是其眼底“漏水”了,这是怎么一回事呢?
据悉,刘先生今年43岁,除了熬夜、压力大之外,平素还有吸烟的习惯,近三天眼睛出现不适后前往泉州爱尔眼科医院进行检查,到院后通过医院OCT及眼底血管造影检查,被确诊为“中心性浆液性脉络膜视网膜病变”,俗称“中浆”,通过药物治疗,视力正在逐步恢复中。刘先生的病例并非个例,如今在门诊中越来越多的中青年因为类似症状前来就诊,殊不知中浆已经悄悄盯上了20~50岁的青壮年,尤其是经常熬夜、压力大的男性。
一、什么是“中浆”?
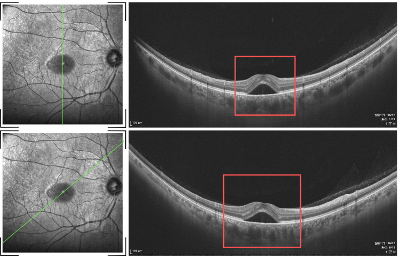
那么,什么是“中浆”呢?哪些人需要格外注意?泉州爱尔眼科医院眼底病科副主任周瑞武医生科普道:“中浆”全称中心性浆液性脉络膜视网膜病变,可简单理解为:脉络膜血管的通透性异常增加,导致液体渗漏到视网膜神经上皮层下,在视觉最敏锐的黄斑区形成“小水泡”。正是这个“水泡”,引起刘先生中心视力下降、视物变暗、变形等症状。

(刘先生的检查报告)
二、“中浆”与哪些因素高度相关
此外,“中浆”是一种典型的身心性疾病,其确切病因复杂,但与以下因素高度相关:
一、精神心理压力与激素水平:长期精神紧张、焦虑、A型性格(急躁、好胜、追求完美)可导致体内儿茶酚胺、皮质醇等应激激素水平升高,直接作用于脉络膜血管,使其调节功能紊乱,血管扩张、渗漏。
二、外源性激素:全身或局部(如皮肤药膏、喷鼻剂)滥用糖皮质激素,是导致或加重“中浆”的明确危险因素。
三、生活方式:长期熬夜、睡眠不足、过度疲劳、吸烟、饮酒等,会加剧身体氧化应激和血管功能不稳定。
四、其他因素:妊娠期(与体内激素剧烈变化有关)、自身免疫性疾病、阻塞性睡眠呼吸暂停综合征等也可能增加患病风险。
刘先生便是在近期精神压力与不良生活习惯的多重因素叠加下诱发了该眼病。因此,20-50岁青壮年男性(发病率显著高于女性)、长期处于高压状态的职场人群(如脑力劳动者、管理人员、创意工作者),以及有烟酒习惯,尤其是长期吸烟、过量饮酒的人群需要格外注意。
三、如何居家自测+症状警示,早发现才能护视力
温馨提醒,可以利用Amsler(阿姆斯勒)方格表在家进行简单自测,这是眼科临床检测黄斑病变的工具图。

(△特别提醒: 阿姆斯勒方格表仅仅是一种辅助性的检查手段,不能作为确诊疾病的依据)
此外,周瑞武医生特别提醒很多人把黄斑疾病当成普通的视疲劳或眼镜度数问题,从而延误治疗。
四、关注以下几点,出现任何一个建议及时就医:
1.中心视力下降
看东西明显模糊、发暗,就像眼前蒙了一层雾,用阿姆斯勒表检查时常常会发现中心有暗点;
2.视物变形(变视症)
这是“中浆”最典型的症状之一,原本笔直的线条(比如门框、窗户、书本边框),看起来变得弯弯曲曲、歪歪扭扭;
3.中心暗点
注视某个物体时,中心区域会出现一块灰影或黑影,尤其影响看书、看手机等精细用眼;
4.色觉异常
看东西颜色变暗、失真,部分患者会感觉物体发黄、发灰,失去原本的鲜亮色彩;
5.远近感扭曲
有时会觉得物体比实际更小(医学上叫“小视症”),判断距离时出现偏差;
6.单眼发病为主
大多是一只眼睛出现症状,但也可能双眼先后或同时受累,很多人一开始会以为是“单眼近视加深”;
7.有自愈倾向,但易复发
多数急性“中浆”患者,在3~6个月内可以自行恢复,但如果不调整作息、控制压力,很容易复发,反复复发可能会损伤黄斑功能,导致视力不可逆下降。
早发现、早诊断、早治疗,才能守护好我们的“中央视觉区”。建议转发给身边经常加班、熬夜的朋友进行自测,提醒他们关注眼底健康,做好日常自测与防护!(通讯员 苏润钰 黄兰兰)