视力突然下降、视野缺损,眼科检查却未发现异常?这种情况可能并非简单眼疾,背后或隐藏颅内病变等严重健康隐患。泉州爱尔眼科医院近期接连接诊此类病例,专家提醒市民警惕相关风险。
大学生换眼镜发现大问题
视力下降真相竟是颅内肿瘤
近半年,大学生小伟(化名)左眼视物模糊,误以为近视度数加深,前往泉州爱尔眼科检查配镜。
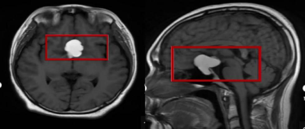
验光发现其左眼矫正视力仅0.5+,眼底排查仅见高度近视相关的豹纹状改变,无其他明显异常。经斜弱视与小儿眼科金丽文主任联合会诊,发现小伟左眼瞳孔偏大、对光反射迟钝,存在颞侧视野缺损。凭借多年从医经验,金丽文主任判断其视力下降并非单纯眼疾,建议立即完善颅脑MRI检查。结果显示,小伟头颅鞍区及鞍上有一约32.6mm×25.1mm×32.8mm的异常信号灶,视交叉受压。最终确认,颅内占位才是其视力下降、视野缺损的根源,随后小伟已在上海接受治疗。

小伟检查报告 通讯员供图
六旬阿姨险失明
眼科医生揪出颅内肿瘤
无独有偶,六旬孙阿姨(化名)因视力下降、双眼视物有遮挡感困扰已久,此前曾就诊某医院眼科,被建议配镜,但未做进一步检查。随着症状加重,阅读报纸、辨认面孔都变得困难,生活质量大打折扣,于是前往泉州爱尔眼科医院寻求帮助。
眼底病科孟冠军医生详细了解病情后,安排了全面视野检查,发现其双眼视野均存在异常。结合丰富的临床经验,孟冠军医生怀疑病因在颅内,立即建议进行头颅核磁共振检查。泉州爱尔眼科医院随即开通与泉州医高专附属人民医院的绿色通道,次日便为孙阿姨完成检查,然而检查结果让大家心头一紧,孙阿姨的颅内鞍区确实有一个囊性占位。


孙阿姨检查报告 通讯员供图
专家提醒:不明原因视力下降
需警惕脑部病变!
“因颅内鞍区肿瘤导致视力下降的病人并不少见。”金丽文医生解释说,颅内鞍区占位最常见的是垂体瘤和脑膜瘤,通常进展较缓慢,患者可能在不知不觉中丧失视力。许多患者在早期可能只有单侧视力下降,随着肿瘤的增长,可能会压迫到视神经,导致双侧视力受损。在视力缓慢下降的过程中,有些患者以为自己是年龄偏大,眼睛“老化”或者“老花眼”引起的;还有的近视患者以为是“近视度数加深”导致的,虽然前往医院就诊,但可能因为在疾病早期,除了视力异常外,没有其他眼部异常体征表现而漏诊。早发现早治疗,解除鞍区占位对视神经的压迫,可以大大提高视力恢复正常的可能。
孟冠军医生进一步说明。“很多患者认为视力问题就一定是眼睛本身的疾病,实际上,视觉通路从眼球一直延伸到大脑枕叶,任何一个环节出现问题都可能导致视力下降。特别是当视力下降与视野缺损同时出现时,我们必须警惕颅内病变可能,如垂体瘤、颅咽管瘤、脑膜瘤等,这些病变压迫视交叉或视神经,都会引起相应的视觉症状。”
专家强调,眼部疾病常与全身健康相关,不可孤立看待眼部症状。市民若出现不明原因视力下降,除眼科检查外,需及时完善头颅CT或磁共振检查,避免误诊漏诊。(通讯员 苏润钰 吴航 黄兰兰)